Fotografía científica: Oclusión rama venosa retina (ORVR). Rama temporal inferior

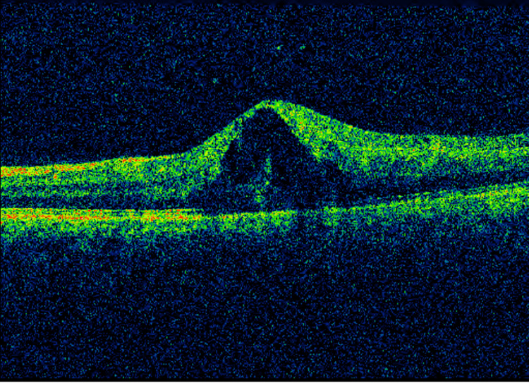
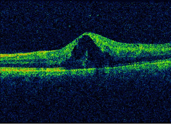
La oclusión de la vena en el cruce arterio-venoso provoca hemorragias en llamas, debido a que siguen el mismo curso de la capa de fibras nerviosas, y extravasación en capas superficiales produciendo Edema Macular Quístico.

Tomografia 3D macular

Tomografia macularRetinografia blog Autor: Jorge Haro López. Colegiado: 9653

Deja un comentario