En este número de la revista COOOA Optometría me gustaría hablar de un trabajo cuyo objetivo fue el de investigar la localización y la estabilidad de fijación de los puntos preferentes retinianos (PRL) en pacientes con enfermedad macular y la relación entre áreas de autofluorescencia anormal del fondo, PRL y sensibilidad visual.
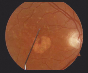
En el estudio se evaluaron a 15 pacientes, 7 con enfermedad de Stargardt, 1 con maculopatía en ojo de buey, 5 con DMAE, 1 con distrofia macular viteliforme de Best y 1 con distrofia de patrón. Todos los ojos examinados tenían áreas de autofluorescencia anormal del fondo. El PRL fue evaluado con fotografía de fondo y el microperímetro Nidek, este último midiendo también la sensibilidad del campo visual.
De los 15 ojos, 4 tenían fijación foveal y 11 tenían excéntrica. Los PRL excéntricos estaban por encima de la lesión atrófica y su estabilidad no dependía del grado de excentricidad de la fóvea. Además, la sensibilidad visual disminuyó notablemente en las localizaciones correspondientes a las áreas hipofluorescentes. No se redujo en las áreas hiperfluorescentes correspondientes a las manchas, pero sí la hiperfluorescencia que se encontraba en forma de anillos densos.
En conclusión, los PRL excéntricos se encontraban en la retina superior en regiones de autofluorescencia normal del fondo. Además, la estabilidad de fijación no se correlacionó con el grado de excentricidad de la fóvea. Por ello, hay que tener en cuenta que para evaluar los resultados de los ensayos de tratamiento es fundamental utilizar métodos que relacionan la morfología de la retina con la función visual.
Del mismo modo también es observable que cuando se valoran los PRL verticales mediante un método subjetivo (Test de Fonda) existe una correlación del 100% con un método objetivo (Microperimetría Maia), mientras que en los PRL horizontales la correlación solo es del 60%. Esta situación puede deberse a la mayor inestabilidad de estos PRL horizontales.
Javier Sebastián Carmona. Óptico-optometrista. Colegiado nº 8783.
D.O.O especialista en Optometría Clínica, Contactología y Baja Visión, miembro de la International Society for Low Vision Research and Rehabilitation, secretario y miembro de la junta directiva de la Sociedad Española de Especialistas en Baja Visión y delegado del Colegio Oficial de Ópticos Optometristas de Andalucía en Almería.









